"what causes prostate cancer: Symptoms and treatments"
What’s Prostate Cancer?
Prostate most cancers develops in a person’s prostate, the walnut-sized gland just below the bladder that makes a number of the fluid in semen. It is really the most typical cancer in Gentlemen following pores and skin cancer. Prostate most cancers typically grows very bit by bit and may not bring about considerable hurt. But some varieties tend to be more aggressive and will unfold immediately without having procedure.
Indicators of Prostate Most cancers:
While in the early levels, Guys can have no indicators. Afterwards, signs can involve:
-Regular urination, Primarily during the night
-Issue commencing or halting urination
-Weak or interrupted urinary stream
-Painful or burning feeling during urination or ejaculation
-Blood in urine or semen
Innovative most cancers could cause deep agony inside the decreased back, hips, or higher thighs.
Enlarged Prostate or Prostate Most cancers?
The prostate can develop much larger as men age, often urgent around the bladder or urethra and resulting in symptoms much like prostate most cancers. This is known as benign prostatic hyperplasia (BPH). It is not most cancers and can be dealt with if symptoms grow to be bothersome. A 3rd problem that could cause urinary signs or symptoms is prostatitis.
Danger Variables You can not Manage:
Increasing more mature is the greatest threat component for prostate most cancers, especially soon after age fifty. Following 70, scientific studies advise that most Guys have some sort of prostate most cancers, although there may be no outward signs or symptoms. Family background will increase a person’s risk: possessing a father or brother with prostate cancer doubles the chance. African-Us residents are at higher threat and also have the best rate of prostate cancer on earth.
Possibility Things You Can Handle:
Diet regime appears to Participate in a role in the development of prostate cancer, that’s a great deal more popular in countries exactly where meat and substantial-Extra fat dairy are mainstays. The key reason why for this link is unclear. Dietary Body fat, specifically animal Unwanted fat from pork, may well Strengthen male hormone levels. And this might gas the growth of cancerous prostate cells. A diet regime far too small in fruits and greens may also play a role.
Myths About Prostate Cancer:
Here are a few items that will not lead to prostate most cancers: An excessive amount sexual intercourse, a vasectomy, and masturbation. When you’ve got an enlarged prostate (BPH), that doesn’t mean you are at higher danger of creating prostate cancer. Researchers are still learning regardless of whether Liquor use, STDs, or prostatitis Engage in a task in the development of prostate cancer.
Can Prostate Cancer Be Discovered Early?
Screening exams can be found to discover prostate cancer early, but authorities suggestions Never call for schedule testing in Males at any age. The tests might discover cancers that happen to be so gradual-rising that clinical therapies would offer you no reward. Along with the therapies on their own can have severe Unwanted side effects. The American Cancer Society advises Adult males to speak with a health care provider about screening assessments, starting at:
-50 for typical-risk men who hope to Are living not less than ten far more a long time.
-45 for men at superior hazard. This incorporates African-People and people using a father, brother, or son diagnosed prior to age 65.
-forty for guys with more than one initial-degree relative diagnosed at an early age.
Screening: DRE and PSA:
Your health care provider may well to begin with do a digital rectal exam (DRE) to feel for bumps or tricky places within the prostate. After a dialogue with the medical professional, a blood check can be used to evaluate prostate-precise antigen (PSA), a protein produced by prostate cells. An elevated level may perhaps point out a better opportunity that you have most cancers, however, you can have a high amount and even now be cancer-no cost. It is additionally attainable to have a ordinary PSA and also have prostate cancer.
PSA Test Effects:
A standard PSA level is thought of as underneath 4 nanograms for every milliliter (ng/mL) of blood, even though a PSA over ten indicates a large risk of most cancers. But there are numerous exceptions:
-Men might have prostate cancer with a PSA under 4.
-A prostate that is definitely inflamed (prostatitis) or enlarged (BPH) can Enhance PSA levels, still more testing may well present no proof of most cancers.
-Some BPH medication can decreased PSA amounts, despite the existence of prostate cancer, identified as a Fake negative.
If both a PSA or DRE test are irregular, your medical doctor will get other assessments.
Prostate Cancer Biopsy:
If a Bodily exam or PSA take a look at suggests a dilemma, your medical doctor may advocate a biopsy. A needle is inserted either from the rectum wall or even the pores and skin among the rectum and scrotum. Various modest tissue samples are removed and examined beneath a microscope. A biopsy is The simplest way to detect most cancers and predict whether it’s slow-increasing or aggressive.
Biopsy and Gleason Rating:
A pathologist looks for mobile abnormalities and “grades” the tissue sample from one to 5. The sum of two Gleason grades is definitely the Gleason score. These scores assistance decide the probability of the cancer spreading. They vary from 2, a lot less aggressive, to ten, a very intense most cancers. Gleason scores aids guideline the type of cure your medical doctor will endorse.
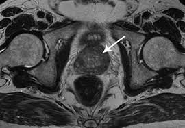
Prostate Cancer Imaging:
Some Adult men may need added tests to find out Should the cancer has distribute beyond the prostate. These can incorporate ultrasound, a CT scan, or an MRI scan (seen listed here). A radionuclide bone scan traces an injection of small-level radioactive substance to help detect cancer which includes spread on the bone.During the MRI scan proven below, the tumor is the eco-friendly, kidney-formed mass in the center, next to the prostate gland (in pink).
Prostate Most cancers Staging:
Staging is used to describe how significantly prostate most cancers has spread (metastasized) and to help you identify the most effective cure.
-Stage I: Cancer is smaller and still inside the prostate.
-Phase II: Most cancers is more Superior, but nonetheless confined to the prostate.
-Stage III: Most cancers has distribute to the outer Portion of the prostate and close by seminal vesicles.
-Phase IV: Cancer has unfold to lymph nodes, close by organs or tissues including the bladder or rectum, or distant organs such as bones or lungs.
Prostate Cancer Survival Costs:
The excellent news about prostate cancer is it always grows slowly but surely. And 9 from ten scenarios are found in the early stages. All round, the five-calendar year relative survival rate is one hundred% for guys with disorder confined to the prostate or nearby tissues, and plenty of Adult men Are living much longer. Once the ailment has distribute to distant spots, that figure drops to 28%. But these figures are determined by Adult males diagnosed at least 5 a long time in the past. The outlook can be improved for men diagnosed and handled right now.
Treatment method: Watchful Ready:
With small-risk cancer, 1 alternative is to observe and hold out. This is decided by your biopsy, PSA exam, and Gleason scores. Your doctor will order periodic testing. Other treatment options — with the chance of sexual or urinary challenges — is probably not vital. Some men who are older or have severe wellness problems might not will need cure. Having said that, extra intense treatment is usually suggested for younger Males or Individuals with a lot more aggressive condition.
Remedy: Radiation Therapy:
External beam radiation to destroy cancer cells can be utilized as a first remedy or right after prostate cancer surgical treatment. It also can aid reduce bone ache from your unfold of cancer. In brachytherapy, small radioactive pellets concerning the dimension of a grain of rice are inserted into the prostate. Both methods can impair erectile function. Fatigue, urinary complications, and diarrhea are other probable Unintended effects.
Procedure: Surgical procedures:
Removing the prostate, or radical prostatectomy, is utilized to do away with the most cancers when it truly is confined on the prostate. New strategies use smaller sized incisions and look for to avoid damaging close by nerves. If lymph nodes also are cancerous, prostatectomy will not be the best choice. Surgical treatment might impair urinary and sexual function, but both of those can make improvements to after some time.
Treatment method: Hormone Therapy:
Hormone therapy could shrink or slow the growth of most cancers, but Until it truly is employed with An additional therapy it will not reduce the most cancers. Medicines or hormones block or quit the production of testosterone and various male hormones, identified as androgens. Unwanted effects can contain scorching flashes, advancement of breast tissue, body weight achieve, and impotence.
Therapy: Chemotherapy:
Chemotherapy kills cancer cells all over the human body, which includes those outside the house the prostate, so it truly is utilized to treat more State-of-the-art cancer and cancer that didn’t respond to hormone therapy. Treatment will likely be intravenous and is also offered in cycles Long lasting three-6 months. As the chemotherapy kills other rapidly-expanding cells in the human body, you will have hair loss and mouth sores. Other Unintended effects incorporate nausea, vomiting, and fatigue.
Procedure: Cryotherapy:
Cryotherapy freezes and kills cancerous cells in the prostate (just like the really magnified cells demonstrated here.) It is far from as broadly used mainly because tiny is known about its prolonged-term success. It really is less invasive than operation, having a shorter Restoration time. Since the freezing damages nerves, as lots of as 80% of men develop into impotent following cryosurgery. There is usually short term pain and burning sensations while in the bladder and bowel.
Treatment: Prostate Most cancers Vaccine:
This vaccine is made to take care of, not stop, prostate most cancers by spurring The body’s immune procedure to attack prostate most cancers cells. Immune cells are removed from your blood, activated to struggle cancer, and infused again into the blood. A few cycles happen in a single month. It truly is used for Innovative prostate cancer that no more responds to hormone therapy. Moderate Negative effects can manifest including exhaustion, nausea, and fever.
Hope for Superior Most cancers:
Your physician will continue on to monitor your PSA stages and may execute other checks right after cure for prostate cancer. If it recurs or spreads to other areas of the human body, further cure might be encouraged. Lifestyle alternatives may perhaps make a difference, far too. One examine uncovered that prostate cancer survivors who exercised often experienced a reduce possibility of dying, for example.
Coping With Erectile Dysfunction:
Erectile dysfunction (ED) is a typical facet impact of prostate most cancers treatment plans. Typically, erectile purpose increases inside two several years after surgical treatment. Enhancement may very well be far better for youthful Adult males than for all those in excess of 70. You furthermore may might gain from ED prescription drugs. Other treatments, including injection therapy and vacuum products, may perhaps help.
Foods for Wellbeing:
A most cancers-conscious diet program could possibly be the only option for survivors who want to bolster their well being and those hoping to decrease their hazard. That means:
-Five or even more fruits and veggies every day
-Full grains instead of white flour or white rice
-Limit large-Unwanted fat meat
-Restrict or reduce processed meat (hot canines, cold cuts, bacon)
-Restrict Alcoholic beverages to one-two drinks each day (should you consume)
Foods significant in folate can have some motion against prostate cancer (including spinach, orange juice, lentils). Reports observed blended success on lycopene, an antioxidant found in tomatoes.
Supplements: Purchaser Beware:
Be wary of dietary supplements which might be promoted to forestall prostate most cancers. Some herbal substances can interfere with PSA concentrations. A ten-year study showed an increase in the risk of cancer for men who took folic acid dietary supplements. A 5-yr examine of selenium and vitamin E didn’t demonstrate a diminished possibility of prostate most cancers. Be sure to tell your physician If you’re using nutritional vitamins or dietary supplements.
prostate cancer treatment, prostate cancer treatments, treatment for prostate cancer,
treatment of prostate cancer, treatments for prostate cancer, prostate cancer symptoms, symptoms of prostate cancer, what causes prostate cancer, causes of prostate cancer, prostate cancer causes, cause of prostate cancer, Prostate Cancer.














0 Comments